Gallstones and Gallbladder removal (Cholecystectomy)

Source: Patient.info

Gallstones are common but cause no symptoms in two out of three people who have them. They sometimes cause pain, yellowing of your skin or the whites of the eyes (jaundice), inflammation of the pancreas (pancreatitis) and gallbladder inflammation. Surgery is the usual treatment for gallstones that cause symptoms.

What are gallstones?

Gallstones occur when bile, which is normally fluid, forms stones. Gallstones commonly contain lumps of fatty (cholesterol-like) material that has solidified and hardened. Sometimes bile pigments or calcium deposits form gallstones. Sometimes just a few small stones are formed; sometimes a great many. Occasionally, just one large stone is formed.

About one in three women, and one in six men, form gallstones at some stage in their lives. Gallstones become more common with increasing age. The risk of forming gallstones increases with pregnancy, obesity, rapid weight loss, having a close relative with gallstones, and diabetes, and if you take certain medicines such as the contraceptive pill.

What are the symptoms of Gallstones?

Most people with gallstones do not know they have them. It is common to have stones in the gallbladder that cause no symptoms. Gallstones are often found when the tummy (abdomen) is scanned or X-rayed for other reasons.

Possible problems

About one out of three people with gallstones develop symptoms or problems. Symptoms are more likely to develop in smokers and women who have had a lot of children. Symptoms include:

• Biliary colic. This is a severe pain in the upper abdomen. The pain is usually worst to the right-hand side, just below the ribs. It is caused by a stone that becomes stuck in the cystic duct. This is the small tube that takes bile from the gallbladder to the bile duct. The gallbladder then squeezes (contracts) hard to dislodge the stone and this causes pain. The pain eases and goes if the gallstone is pushed out into the bile duct (and then usually out into the gut), or if it falls back into the gallbladder.

Pain from biliary colic can last just a few minutes but, more commonly, lasts for several hours. A severe pain may only happen once in your lifetime, or it may flare up from time to time. Sometimes less severe but niggly pains occur now and then, particularly after a fatty meal when the gallbladder contracts most.

• Inflammation of the gallbladder. This is called cholecystitis. This can lead to infection in the gallbladder. Symptoms usually develop quickly and include abdominal pain, high temperature (fever) and being generally unwell. You will normally be admitted to hospital and have your gallbladder removed soon if you develop this problem.

• Jaundice. This is an uncommon complication of gallstones. It occurs if a gallstone comes out of the gallbladder but gets stuck in the bile duct. Bile then cannot pass into the gut and so seeps into the bloodstream. This causes yellowing of your skin or the whites of the eyes (jaundice). The stone may eventually be passed into the gut. However, it is common to need an operation to remove a gallstone which has become stuck in the bile duct. (Note: there are many other causes of jaundice apart from gallstones).

• Pancreatitis. This is an inflammation of the pancreas. The pancreas makes a fluid rich in enzymes (chemicals which digest food):

The pancreatic fluid travels down the pancreatic duct. The pancreatic duct and bile duct join together just before opening into the first part of the gut known as the duodenum. If a gallstone becomes stuck here it can cause pancreatitis which is a painful and serious condition.

What are gallstones diagnosed?

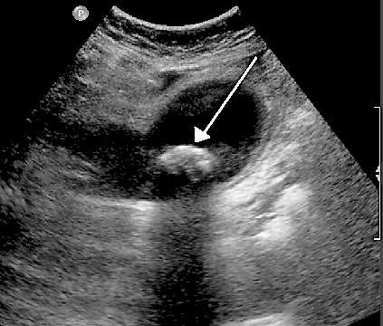
In many cases your symptoms, combined with tenderness in the upper right side of your tummy (abdomen), will alert the doctor that this is likely to be gallstones. However, tests are sometimes needed to rule out other conditions such as stomach ulcers, irritable bowel syndrome and tumours. An ultrasound scan (pictured) and blood tests are the most common investigations done. Other investigations including different types of scans such as an MRI may sometimes be required.

How are hernias repaired with surgery?

No treatment is needed in some cases

Sometimes, it is best to leave gallstones alone if they cause few or no symptoms. If symptoms are problematic after fatty food, it makes sense to avoid that type of food.

Medication

Once gallstones start giving symptoms, surgery is the best treatment. However, you may be given painkillers and antibiotic medication through a drip if the gallbladder becomes infected. Surgery is performed once the infection settles down - usually a week later.

Taking a medicine called ursodeoxycholic acid may sometimes dissolve small stones. This may take years of treatment, is not usually successful and is therefore not commonly used. However, it may be used to prevent gallstones developing when there is a high risk of them forming. For example, it may be used in people who lose weight rapidly following surgery for obesity.

Surgery

An operation to remove the gallbladder is the usual treatment if you have troublesome symptoms caused by gallstones. Different techniques to remove the gallbladder may be recommended depending on its site, size and other factors.

Keyhole surgery is now the most common way to remove a gallbladder. The medical term for this operation is laparoscopic cholecystectomy. It is called keyhole surgery, as only small cuts are needed in the tummy (abdomen) with small scars remaining afterwards. The operation is done with the aid of a special telescope that is pushed into the abdomen through one small cut. This allows the surgeon to see the gallbladder. Instruments pushed through another small cut are used to cut out and remove the gallbladder. Keyhole surgery is not suitable for all people. Some people with gallstones need a traditional operation to remove the gallbladder. This is called cholecystectomy. In this operation a larger cut is needed to get at the gallbladder. Other surgical procedures may be needed if a stone becomes stuck in the bile duct.
Mr Muhammad Hanif Shiwani
MBBS, FRCS, FEBS